Dr. H.S. Chandrashekar (MBBS, D.Ortho, M.S.Ortho)

Dr. H.S. Chandrashekar is a Orthopedic surgeon in Padmanabhanagar, Bangalore and has an experience of 35 years in this field. Dr. H.S. Chandrashekar practices at Amogh Ortho Centre in Padmanabhanagar, Bangalore and Manipal Hospital in Jayanagar 9 Block, Bangalore. He completed MBBS from University Of Mysore, India in 1984 and MS - Orthopaedics from Mysore University in 1990.

He is a Member & Past President of Karnataka Orthopaedic Association, presently organising chairman of Indian Orthopedic Conference, 2024.
Some of the services provided by the doctor are: Management of Trauma, Sports Injuries, Paediatric Orthopaedic, Spine Problems, Foot & Ankle, Orthopaedic Onco-Surgery, Joint Replacement Surgery and Hand Surgery

Schedule Your Appointment

Testimonials

Finger straightening surgery
Dr. H.S. Chandrashekar, Director of the Sanjay Hospital
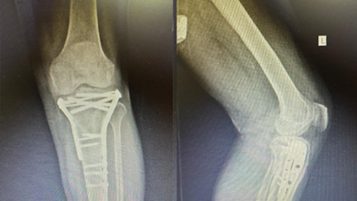
Patient underwent open reduction & internal fixation for Tibial condyle fracture 4 years back

Achievements